奥歯の噛み合わせが基本 vol.66
先週、インプラントを埋入した患者さんが
抜糸で来院しました。
抜糸とはインプラントを埋入した後に
歯ぐきを縫い合わせた糸を取ることです。
インプラントのオペから7~14日後に行い
約5分で痛みなく終わります。
この患者さんが初めに来院された時の
主訴は前歯の被せ物が外れたのでつけてほしい!
というものでした。
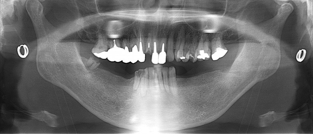
初診時レントゲン
↑のように下の奥歯がない状態の場合は
前歯でご飯を食べるので
上の前歯に強い突き上げる力が作用します。
見た目のこともあり前歯だけを治してほしい!
という患者さんが多いですが
どんなに高価な前歯を作製しても壊れてしまいます。
奥歯の噛み合わせが基本 |前歯をしっかりさせる為にも
セカンドオピニオンで来院される
患者さんの相談で高いお金を出して
前歯を全部セラミックにしたのに
すぐ壊れた!とか、すぐ取れた!という
原因の多くは奥歯の咬み合わせが悪いです。
そういう理由で前歯は応急的に修理し
一番肝心な奥歯をしっかり咬ませるために
インプラントを提案させてもらいました。
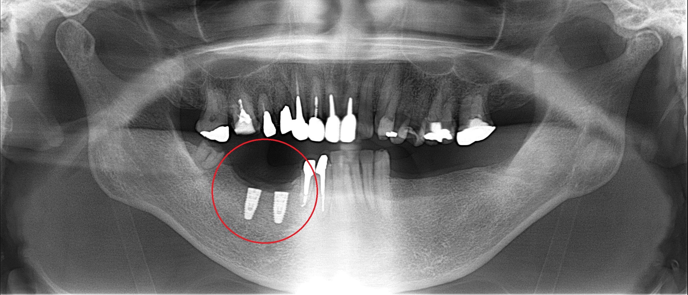
まずは右下の赤い丸の部分に埋入させてもらいました。
上の奥歯と下の歯ぐきが引っ付きそうになっている
長期間、奥歯がない状態だったようで
レントゲンからは分りにくいかもしれませんが
咬んだ時に上の奥歯と下の歯ぐきが
引っ付きそうになっています。
咬み合わせを全て元に戻すのが理想ですが
時間と金銭的に困難だったので
少し骨を細工させてもらいました。
前歯は見た目の関係から大事なのは理解できますが
本当に大事にしなければならないのは奥歯です。
奥歯は家の土台とか基礎の部分
わかりやすく家で例えると
奥歯は家の土台とか基礎の部分で
前歯は外壁とか見た目の部分です。
どんなにキレイな見た目の家でも
家の目の前を車が通るだけで倒れそうなら
いつまでたっても安心できませんよね。
奥歯の噛み合わせが基本
奥歯がないというのはそういうことです。
しっかりしていれば素敵な前歯を
作製しても壊れません!!
やはり歯は上っ面だけでなく
根本的に治療しなければ生涯に渡って
苦労しますから奥歯を失ったまま
放置している患者さんは
歯医者さんに一刻も早く行きましょう!!
広島駅から徒歩4分
河村歯科クリニック HPはこちら
〒732-0828 広島市南区京橋町1-3赤心ビル1F
TEL:082-263-6480
※当医院は予約制ですが新患、急患は随時受け付けております。
予約状況によってはお待たせすることがありますのでできればお電話いただければ幸いです。











