インプラントは思ったより痛くなかった vol.5
先週、インプラントを埋入した患者さんの抜糸をしました。
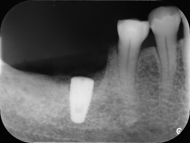
上のレントゲンの白く写っているのがインプラントです。
抜糸とはインプラントのオペで縫い合わせた糸を除去することです。
痛くなくてビックリ
だいたいオペ後から7日~14日の間に行いますので
オペ後に患者さんと初めて会うわけですから
必ず 痛みはどうでしたか? と聞きます。
先生!ホント痛くなくてビックリしました! とみなさん言われます。
もちろん本日の患者さんも例外ではありません。
骨の中にドリルで穴をあけてねじ込むなんてっ!!
考えただけでも痛そうですが
実際の所はみなさんが想像しているのとは違います。
当院での統計では以下のようになります。(オペ後、麻酔が切れてからの痛み)
インプラントは思ったより痛くなかった |統計
- 痛み止めはいらなかった 3割
- 痛み止めは飲んだけど1、2錠だった 6割
- 少し痛かった 1割
- 痛くて寝れなかった人 なし
オペ後、少し痛かったと言われる患者さんもいますが抜歯即時埋入といって
抜歯したと同時に歯を抜いた穴にインプラントを埋める術式の場合です。
インプラント治療を受ける患者さん
どちらかというと抜歯の痛みだと考えています。
この場合も痛くて寝れないといった痛みではなく
痛み止めを飲めば問題ないというレベルです。
※オペ中の痛みはありませんので特に記載しておりません!
こういう事実と説明があったとしても初めてインプラント治療を受ける患者さんは
例外なくみなさん不安です。
実際は痛くなかったという結果が9割以上なので痛みが気になって
インプラント治療をお悩みの方は参考にしてください。
広島駅から徒歩4分
河村歯科クリニック HPはこちら
〒732-0828 広島市南区京橋町1-3赤心ビル1F
TEL:082-263-6480
※当医院は予約制ですが新患、急患は随時受け付けております。
予約状況によってはお待たせすることがありますのでできればお電話いただければ幸いです。。









