骨がないからインプラントできない ? vol.56
一昨日、インプラントの最後の被せ物を装着し
一年近くかかったインプラント治療が終了した患者さんです。
骨がないからインプラントできない ?|症例
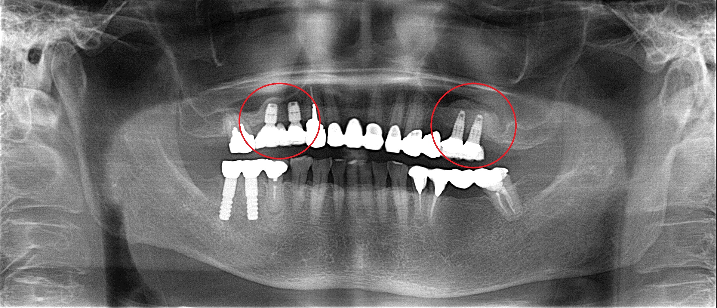
初めて来院した時のレントゲン ↓
黄色の丸の部分は他院でのインプラント治療です。
そこの歯医者さんでは上の顎には下の顎のように
骨がないのでインプラントはできない!と言われ
長い間、入れ歯を装着していたそうです。
確かに赤い丸の部分には骨の高さが少し足りないですが
全く問題なくインプラントできるケースです。
骨がない場合や上の顎になると技術的に難しくなる
このように下の顎にインプラントを埋入できても
少し骨がない場合や上の顎になると技術的に難しくなるので
避ける歯医者さんが多いようです。
技術的に難しいからといって成功率が低いとか
リスクが高いということではありません。
この歯医者さんで患者さんの希望がインプラントの場合
他院に紹介してくれると良心的だと思いますが
無理だと患者さんを納得させたのなら残念な気持ちになります。
僕は患者さんの治療の選択肢を歯医者さんサイドで
せまくしてしまうことが嫌だからです。
少し骨を造ってインプラント治療
結局、この患者さんがセカンドオピニオンで来院された時に
CT撮影させてもらいインプラント治療となったのです。
初診来院時 ↓
治療が終わった一昨日 ↓
左右、両方ともに少し骨を造ってインプラント治療しました。
治療期間は半年ぐらいで終わる予定でしたが患者さんの都合で
一年近くかかりました。
セカンドオピニオンで当院に相談
治療開始から半年後には入れ歯を外し仮歯だったので
入れ歯からは、とっくに解放されてましたが
セカンドオピニオンで当院に相談して本当によかった!
と喜んでくださりこちらも嬉しい気持ちになりました。
このインプラントですが
セカンドオピニオンで多い相談の一つです。
相談は無料なのでお話だけ聞いてみる価値は
十分にあると思います。
こういう無料相談でありがちな
無理に成約させるとか
後日、こちらから連絡とかは
心配しなくても一度もしたことありません!
広島駅から徒歩4分
河村歯科クリニック HPはこちら
〒732-0828 広島市南区京橋町1-3赤心ビル1F
TEL:082-263-6480
※当医院は予約制ですが新患、急患は随時受け付けております。
予約状況によってはお待たせすることがありますのでできればお電話いただければ幸いです。。










