もっと早く歯のインプラントに出会っていれば vol.48
今年の1月に前歯のインプラント治療を行った患者さんが
一昨日、被せ物を装着し治療を終了しました。
来院時のレントゲン 赤い丸の部分の歯がありません。
治療法
こういうケースの場合は下記の3つの治療法があります。
- ブリッジ
- 部分入れ歯
- インプラント
しかし、多くの歯医者さんでは、入れ歯かブリッジの説明だけ受けて
ブリッジ治療を施されているケースがほとんどです。
入れ歯とブリッジは安価であること以外はデメリットしかなく
他の健康な歯に悪い影響を与える治療です。
患者さんと上記の3つの治療法をしっかり説明し
インプラント治療を選択されました。
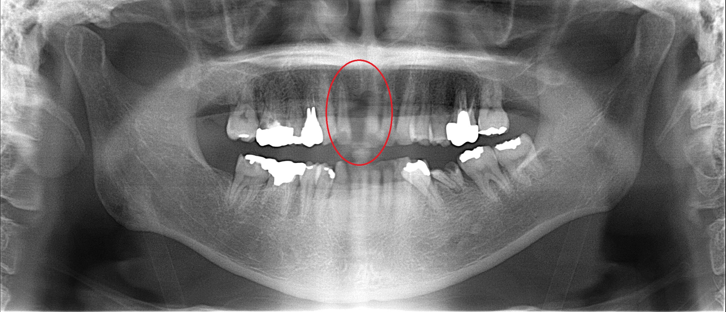
昨日の被せ物を装着後のレントゲン 赤い丸の部分にインプラントを埋入
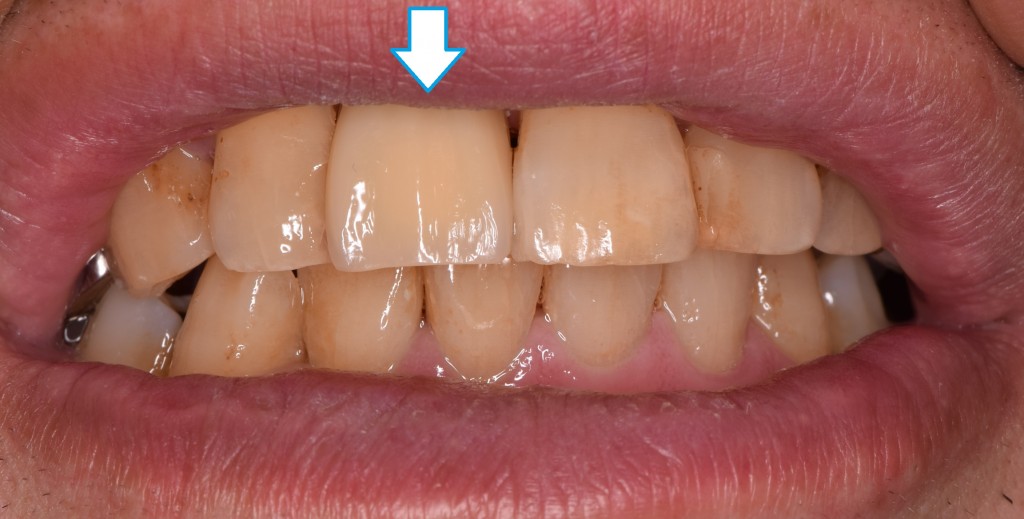
お口の画像 矢印の歯がインプラント治療の歯です。

インプラント治療は保険の治療に比べて高価だが
インプラント治療は歯を失った両隣の歯を削ることなく
失った部分のみインプラントで回復する素晴らしい治療です。
見た目も自然で他の歯に影響が全くありません。
インプラント治療は保険の治療に比べて高価ですが
その価格に見合った十分に価値のある治療です。
僕の患者さん全てがインプラントを選択するわけではありませんが
必ず3つの治療法の説明はさせてもらってます。
もっと早く歯のインプラントに出会っていれば |患者さんの声
インプラント治療をされた患者さんのほとんど全員が
もっと前に説明だけでも聞いていたら…
こんなに歯を失くすことはなかったのに!
とおっしゃいます。
何回も言ってますが、1,2本失うのは虫歯か歯周病ですが
それ以上の歯を失うキッカケとなる要因は
入れ歯、ブリッジです。
これ紛れもない事実です。
この3つの治療法は全て説明してもらって
自分で選択してください。
歯をたくさん失った時の後悔が少ないですから!
広島駅から徒歩4分
河村歯科クリニック HPはこちら
〒732-0828 広島市南区京橋町1-3赤心ビル1F
TEL:082-263-6480
※当医院は予約制ですが新患、急患は随時受け付けております。
予約状況によってはお待たせすることがありますのでできればお電話いただければ幸いです。。











